Mount Florida Dental
Glasgow Dentist Southside
dullleft dullright

Mount Florida Dental 4 McLennan Street Mount Florida Glasgow Scotland G42 9DQ enquiries@mountflorida.dental 0141 632 1634

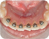
simple lingual

The ultimate aesthetic brace choice. Simple Lingual uses brackets positioned on the inside of the mouth to gently move and align the front 4-6 teeth, for those patients where speed and appearance are essential.

Because they are placed on the back of the teeth they are virtually unnoticeable from the outside. Your teeth can be straightened without worrying about your appearance.

lingal braces
Glasgow Southside